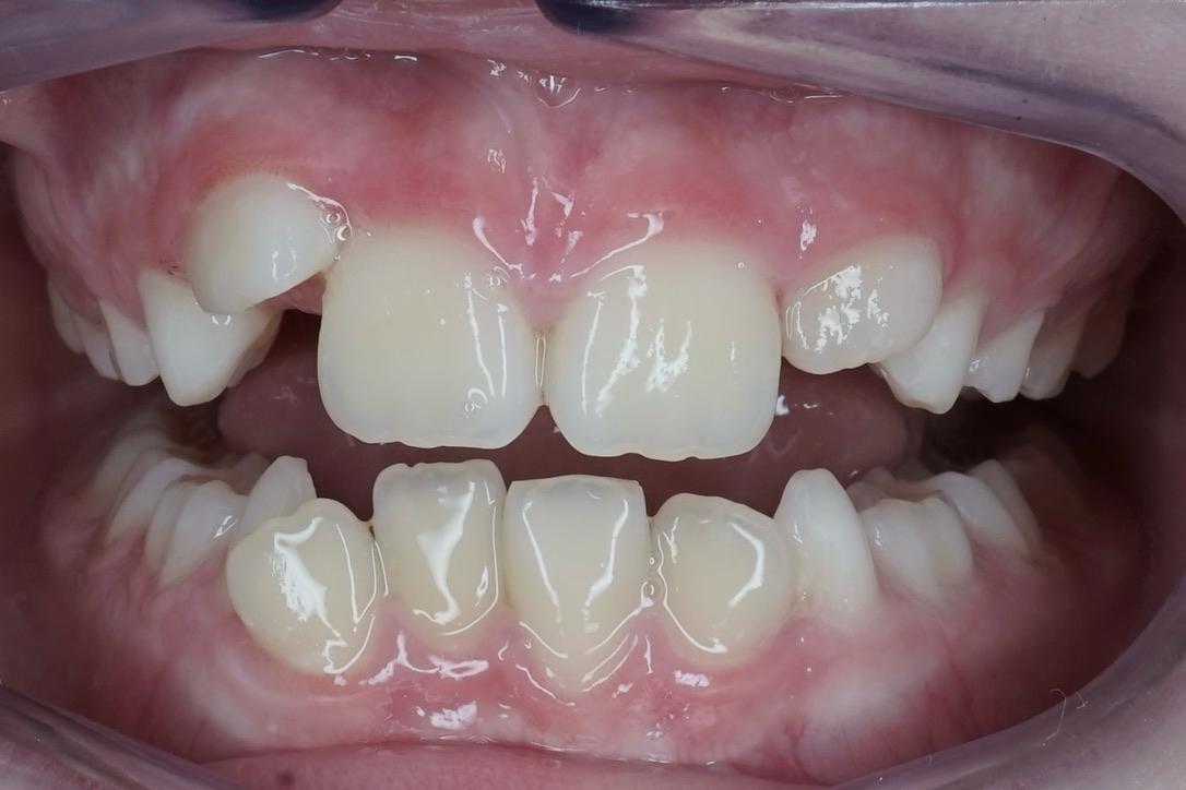
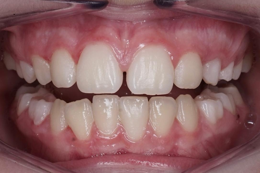
Tratamientos de Ortodoncia
Ortodoncia Invisible
En Soldents, tu clínica dental de Alaquás, somos providers oficiales de Invisalign categoría platinum II.
Con este tipo de ortodoncia nadie notará que llevas aparato.
Son alineadores invisibles que se retiran a la hora de comer, proporcionando una comodidad e higiene excelentes. No provoca llagas ni irritaciones.
Se fabrican de forma personalizada para cada paciente.
Contamos con el escáner intraoral para hacer las simulaciones de ortodoncia del resultado final antes de empezar el tratamiento.


Ortodoncia Fija con Brackets
Ortopedia
Se trata de aparatos funcionales que se utilizan en edades tempranas para corregir discrepancias óseas, falta de espacio en las arcadas de los niños y malos hábitos que pueden causar problemas de maloclusión dental, apiñamiento o incluso que algún diente definitivo no llegue a erupcionar. Para corregir este tipo de casos se utilizan aparatos de ortodoncia interceptiva.
Son aparatos muy cómodos de llevar y personalizables para cada niño.

