Estética Dental
La estética dental es la especialidad cuyo objetivo es mejorar el aspecto de tus dientes y encías. Para realizar este tipo de tratamientos, los pacientes tienen que tener primero una buena salud oral, es decir, cualquier tipo de problema como caries o enfermedad periodontal debe ser solucionada o estabilizada antes de proceder a la realización de un tratamiento estético.
Con los tratamientos de estética dental conseguimos una mejor armonía de la sonrisa y la cara del paciente.
Tratamientos de Estética Dental
Dependiendo de las necesidades de cada paciente tenemos distintos tipos de tratamientos. Para saber cuál es el más adecuado para cada paciente, tenemos que estudiar factores como la edad, el sexo o la forma del rostro del paciente. Además de los aspectos extraerles, también estudiaremos con precisión la posición de los dientes, el color y el tamaño o forma.
Carillas dentales
Blanqueamiento dental
Gingivectomía
Reconstrucciones dentales
Se utilizan composites estéticos para solucionar problemas de esmalte como fracturas o caries. Tambien para corregir diastemas, bordes rotos o darle otra forma a los dientes.
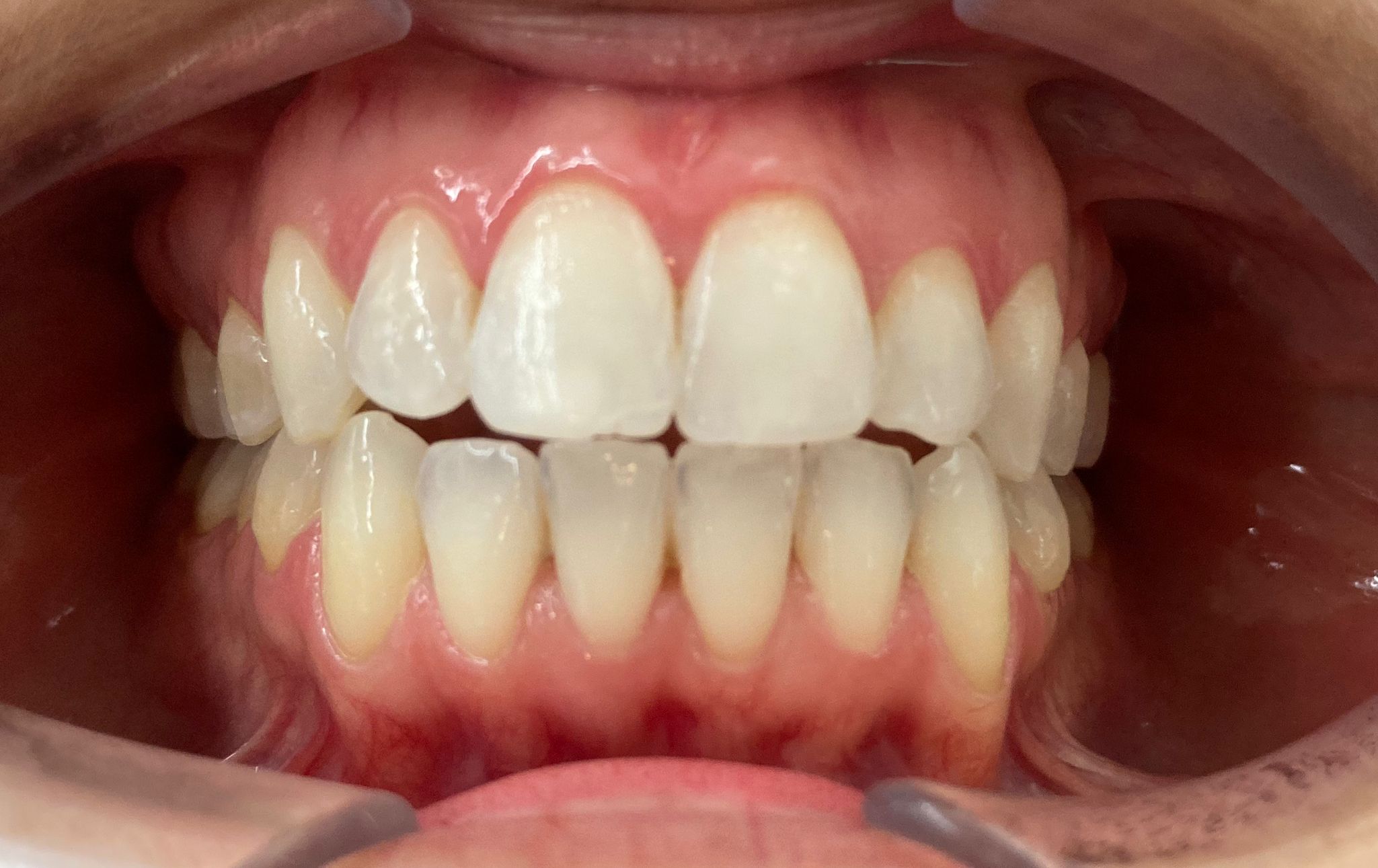
Casos de Éxito


