Carillas dentales media arcada por solo 1.250€
Escaner intraoral incluído
Las carillas dentales más económicas de Valencia
Precios exclusivos para dentaduras completas o media arcada
Una arcada
Carillas Composite Alta Estética- 10 carillas de composite
- Escáner intraoral totalmente GRATUITO
- Financiación hasta 48 meses
Ambas Arcadas
Carillas Composite Alta Estética- 20 carillas de composite
- Escáner intraoral totalmente GRATUITO
- Financiación hasta 48 meses
Una arcada
Carillas de Porcelana Alta Estética- 10 carillas de porcelana en ambas arcadas
- Escáner intraoral totalmente GRATUITO
- Financiación hasta 48 meses
Ambas Arcadas
Carillas de Porcelana Alta Estética- 10 carillas de porcelana en cada arcada
- Escáner intraoral totalmente GRATUITO
- Financiación hasta 48 meses
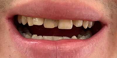
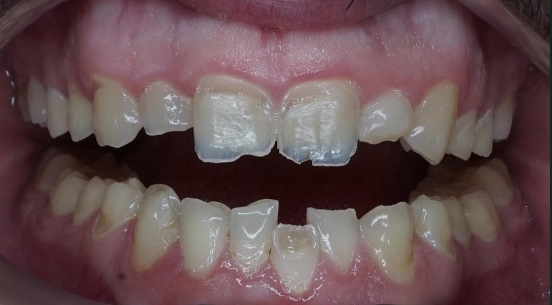
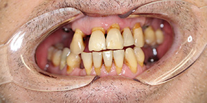
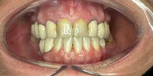
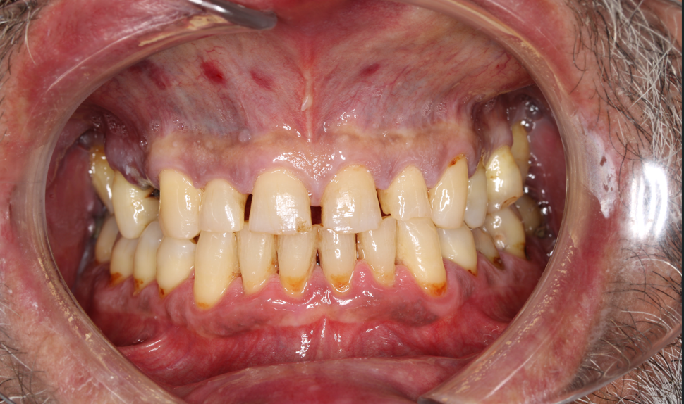
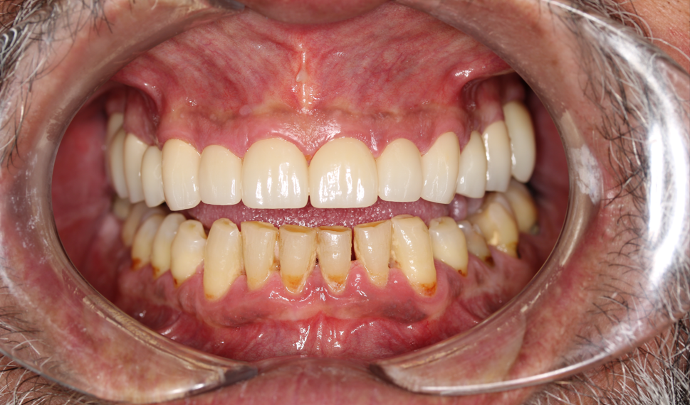
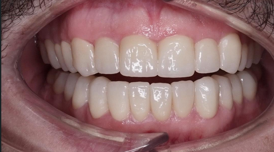
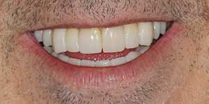
Casos Clínicos






¿Quieres que te llamemos para agendar tu cita?
La primera visita con el doctor especialista en prótesis, radiografías y escáner intraoral es totalmente GRATUITA.
Utilizaremos sus datos para responder consultas y realizar análisis estadísticos. Para más información sobre el tratamiento y sus derechos, consulte la política de privacidad
Tu cara no es igual a la de nadie y tu sonrisa tampoco debe serlo
Las carillas dentales son finas láminas de cerámica o composite que se adhieren a la superficie vestibular del diente, diseñadas específicamente para mejorar su apariencia estética. Están indicadas para corregir alteraciones en el color, forma, tamaño o alineación dental leve, permitiendo armonizar la sonrisa sin comprometer la estructura dental natural.
Este procedimiento se considera mínimamente invasivo, ya que requiere una preparación dental mínima o incluso nula, preservando así el tejido dentario sano.
El tratamiento se caracteriza por su rapidez y efectividad: es completamente indoloro. Gracias a la incorporación de tecnología digital, como el escáner intraoral 3D, se logra un diseño personalizado y un ajuste de alta precisión para cada caso clínico, garantizando una integración estética y funcional óptima.
Las carillas representan una solución predecible y duradera para pacientes que buscan mejorar su sonrisa.
En Soldents estudiamos tu caso en particular y nos adaptamos a tus necesidades.
¿En que se diferencian las carillas de porcelana y las de composite?
Carillas de porcelana
- Se adhieren a la superficie del diente
- No se manchan
- No se fracturan ni desgastan
- Diseñadas en disilicato de litio
- Mínimo tallado sobre la superficie del diente
- Durabilidad entre 10 y 15 años, incluso más
- Se diseñan y fabrican en nuestro laboratorio propio
- Alta estética y durabilidad
Carillas de composite
- Se modelan directamente sobre el diente
- No requieren de tallado dental previo
- Diseñadas en composite estético
- Requieren de dos mantenimientos anuales para mantener una superficie pulida que evite que se manchen
- Más frágiles que las carillas de porcelana
- Durabilidad aproximada de cinco años
¿Quieres que te llamemos para agendar tu cita?
La primera visita con el doctor especialista en prótesis, radiografías y escáner intraoral es totalmente GRATUITA.
Utilizaremos sus datos para responder consultas y realizar análisis estadísticos. Para más información sobre el tratamiento y sus derechos, consulte la política de privacidad
Resolvemos todas tus dudas
¿En qué consiste el tratamiento?
Las carillas se colocan en la parte anterior de la boca, es decir en los dientes que se ven, no están indicadas para colocarse en las muelas. Se utilizaran 8 o 10 carillas por cada arcada (superior o inferior) en función de la amplitud de tu sonrisa. Se valorará si es necesario poner las carillas en ambas arcadas o solo en la superior.
¿Son una buena opción para mi?
Las carillas son el mejor tratamiento para corregir los daños ocasionados por el bruxismo (hábito de apretar los dientes que produce desgaste).
Están indicadas también en:
- Dientes muy reconstruidos o teñidos por medicamentos.
- Dientes con algún tipo de malformación en el esmalte o dentina.
- Dientes que han cambiado de color debido a tratamientos de conductos (endodoncias).
- Casos de asimetrías dentales.
- Para corregir espacios entre los dientes (diastemas)
- Casos de ligeros apiñamientos sin necesidad de ortodoncia.
¿Duran para toda la vida?
Las carillas de porcelana tienen una duración de entre 10 o 15 años y las carillas de composite entre 5 y 10 años. Al igual que nuestros dientes naturales, las carillas deben cuidarse. El paciente deberá hacerse las limpiezas dentales para garantizar la salud de la encía que rodea la carilla, éstas limpiezas deben hacerse con la frecuencia que lo recomiende tu doctor o higienista.
¿Por qué elegir Soldents para realizar mi tratamiento de carillas?
En Soldents disponemos de un doctor especialista en prótesis que evaluará tu caso, escáner intraoral para garantizar un ajuste óptimo y lo más importante, disponemos de un laboratorio propio que nos permite tener el control absoluto de cómo se diseñan y fabrican nuestras carillas, de la calidad de los materiales y nos garantiza poder proporcionar el mejor precio.
Las responsables de atención al paciente llevarán un seguimiento total de tu caso y podrás estar en contacto constante con ellas para resolver cualquier duda.
Nuestra ética de trabajo y nuestra odontología conservadora hace que los pacientes se sientan como en casa.